dev
mahadevan
consultant foot and ankle surgeon

Progressive Collapsing Foot Deformity Reconstruction
This condition encompasses a broad range of disorders that results in flattening of the arch and other associated deformities to the foot.
The cause of PCFD is multifactorial including mid foot arthritis, loose or injured ligaments which stresses the tibialis posterior tendon causing it to weaken / tear and become inflamed. The arch then begins to sag, putting extra stress on the other supporting structures such as the spring and deltoid ligament, leading to further collapse of the foot.
How is the reconstruction done?
You will be admitted on the day of operation. The operation takes about 1.5 to 2 hours and is done under a general anaesthetic or a spinal anaesthetic. You may be kept in overnight depending on the complexity of the reconstruction.
​
The type of surgery undertaken (simple to complex) will depend on the stage of the condition, extent of deformity, rigidity and whether there is arthritis present. Surgery usually involves a combination of any of the following procedures to correct the associated deformities and restoring function:
​
-
Gastrocnemius (calf muscle) or Achilles tendon lengthening - the calf muscle or Achilles tendon is lengthened to reduce flat foot recurrence.
-
Osteotomy - the heel bone (calcaneus) is cut and shifted to reduce the deformity. In patients with more severe deformities an additional osteotomy of a bone in the mid foot (cuneiform) is also made. The bones are held by internal plates, screws or staples (see X-rays A and B).
-
Fusion - done in cases with rigid deformities or presence of arthritis. Fusion involves removing cartilage in the joint and fixing the bones to each other in a corrected position. The bones are held by internal plates or screws (see X-ray C).
-
Tendon transfer - involves moving a working tendon within the foot to replace the weakened or torn tibialis posterior tendon. The most commonly used tendon is one of the tendons that bends the small toes (flexor digitorum longus). After the transfer, the toes will still be able to move, and most patients will not notice any functional changes. To reduce recurrence, two tendons on the outer side of the ankle (peroneal tendons) are sewed together (tenodesis).
-
Ligament repair - damaged ligaments (spring +/- deltoid) are repaired and when needed are strengthened further with an internal brace made out of strong tape and anchors.
The operation is done through several skin incisions (cuts); the wounds are closed with dissolvable stitches. You will be non-weight bearing on the operated leg for a period of 6 weeks and have a below-knee cast / boot for that duration to protect the foot. After 6 weeks, you will be placed in a boot for a further 3 – 6 weeks and you may start gradual weightbearing.

Xray A showing screw and bone anchors used to perform surgery

.jpg)
Xrays B (Before and after) showing plate and staples following Evans osteotomy & Fusion of 1st TMTJ to realign flat foot

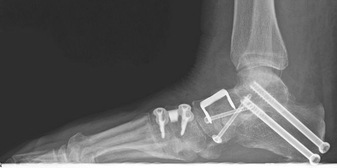
Xrays C showing subtalar and talonavicular joint fusions and Cotton osteotomy to realign flat foot
Aftercare and FAQs
It is important to keep the leg elevated as much as possible especially for the first 2 weeks. You will usually be able to go home when you feel ready. You will need to arrange for someone to drive you home.
​
Your first clinic follow-up is usually 12 to 14 days after surgery.
​
Wound care – The plaster cast should be kept dry. At yours first clinic appointment, would inspection and suture removal would be undertaken.
Work - If you have a sedentary job you should be able to return to work within 2 weeks (if you can arrange safe transport). If your job is physical, you may need to stay off work until the boot / cast is removed.
​
Recovery - Your ankle will continue to improve up to 12 months following surgery. Intermittent swelling and aches are common in the initial phase of recovery.
​
Driving - You will not be able to drive for 10 weeks following surgery. However, if you drive an Automatic and it was your LEFT side that was operated on; then you may start short drives 2 weeks following surgery. It is advisable to check the terms of your car insurance to ensure your cover is valid, as some policies state that you must not drive for a specific time period after an operation.
​
Flying after surgery - It is generally recommended to wait at least six weeks to fly. It may be possible to fly on short-haul or domestic flights at an earlier time, but you should always check with your GP or surgeon. Always consult your doctor, your health insurance provider and the airline you are flying with before making your flight reservation.
​
For further information about preparing for surgery and aftercare, click here.
What are the surgical risks?
-
Infection
-
Nerve damage – causing numbness and painful scar
-
Deep vein thrombosis (DVT) and pulmonary embolism (PE) – blood clots in the vein or lungs – to reduce this risk you would be prescribed heparin injections for a few weeks (unless contraindicated)
-
Non / Delayed union of bone
-
Reconstruction failure
-
Prolonged swelling and stiffness
-
Prolonged recovery
-
Residual pain and deformity
​
It is beyond the scope of this document to list rarer risks (less than one in a thousand) but I will be very happy to discuss any worries about specific concerns and also about any family history or your past health problems. If there is anything you do not understand or if you have any questions or concerns, please feel free to discuss them with me.